Ascitis quilosa tras colecistectomía, presentación de un caso y revisión de la literatura

Resumen
Introducción: La ascitis quilosa es la presencia de líquido linfático en la cavidad peritoneal. Como consecuencia de una cirugía abdominal es muy infrecuente, encontrando 5 casos previos en la literatura revisada tras colecistectomía. Se presenta el caso de un paciente con dicha complicación,su manejo y una revisión de la literatura.
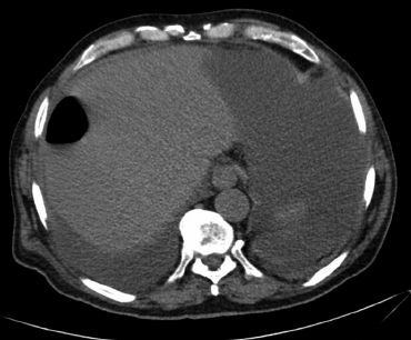
Materiales y Métodos: Varón de 77 años, quiloperitoneo 21 días después de realización de colecistectomía programada por colecistitis aguda.
Resultados: Se realiza drenaje percutáneo con débito de 5 L en 24 horas, se inicia octreótido subcutáneo y nutrición parenteral total. Al tercer día disminuye el débito por el drenaje, por lo que se inicia dieta rica en triglicéridos de cadena media con buena evolución posterior. De los 5 casos previos tras colecistectomía, el 60% se resolvió con tratamiento conservador, un paciente precisó reintervención y otro colocación de un shunt portosistémico intrahepático trasnyugular (TIPSS).
Conclusión: La ascitis quilosa es una complicación postquirúrgica infrecuente, encontrando solo 5 casos previos tras colecistectomía. Inicialmente el manejo debe ser conservador, en caso de persistencia se deben valorar otras medidas.
Copyright (c) 2019 Revista de Cirugía

Este obra está bajo una licencia de Creative Commons Reconocimiento 4.0 Internacional.