Obstrucción intestinal por fitobezoar en una paciente con bypass gástrico laparoscópico en Y de Roux: reporte de un caso y revisión de la literatura.

Javier Ignacio Rodríguez Gutiérrez, Valentina Kobus Garín, Ignacio Tellez Guzmán, Gustavo Pérez Blanco
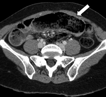
Imagen de portada

Resumen


Introducción: Los bezoares son una etiología infrecuente de obstrucción intestinal (OI) posterior a un bypass gástrico laparoscópico en Y de Roux (BGLYR).

Objetivo: Describir un caso clínico de OI debido a un fitobezoar en un sitio infrecuente, en una paciente 2 años después de un BGLYR.  

Caso clínico: Paciente sexo femenino con antecedente de BGLYR hace 2 años y cuadro de obstrucción intestinal causado por fitobezoar.

Discusión:  Se discuten los factores que pueden contribuir a la formación del bezoar en este caso y estrategias para su prevención. Se destaca la importancia del estudio imagenológico y de la exploración quirúrgica oportuna.


Rodríguez Gutiérrez J, Kobus Garín V, Tellez Guzmán I, Pérez Blanco G. Obstrucción intestinal por fitobezoar en una paciente con bypass gástrico laparoscópico en Y de Roux: reporte de un caso y revisión de la literatura.. Rev Cir.. 2019;71(4). Disponible en: https://revistacirugia.cl/~revtacirugia23/index.php/revistacirugia/article/view/223 [Accessed 16 oct. 2025].
Rodríguez Gutiérrez, J., Kobus Garín, V., Tellez Guzmán, I., & Pérez Blanco, G. (2019). Obstrucción intestinal por fitobezoar en una paciente con bypass gástrico laparoscópico en Y de Roux: reporte de un caso y revisión de la literatura.. Revista de Cirugía, 71(4). Recuperado de: https://revistacirugia.cl/~revtacirugia23/index.php/revistacirugia/article/view/223 16 oct. 2025



Copyright (c) 2019 Revista de Cirugía

Licencia de Creative Commons
Este obra está bajo una licencia de Creative Commons Reconocimiento 4.0 Internacional.