Cáncer gástrico después de la Cirugía Bariátrica

Resumen
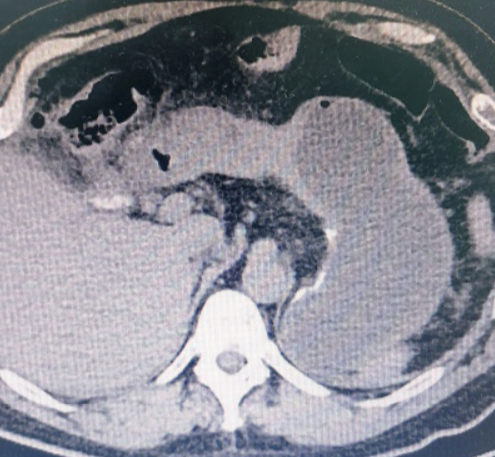
Varios factores de riesgo están implicados en el desarrollo del adenocarcinoma gástrico, como las cirugías gástricas previas1. En la cirugía de bypass gástrico se puede producir reflujo pancreaticobiliar crónico, con inflamación crónica en la mucosa gástrica. La aparición de adenocarcinoma gástrico del estómago excluido es rara y en esta condición específica tiende a diagnosticarse en estadios avanzados
DOI: http://dx.doi.org/10.35687/s2452-454920240062250
Copyright (c) 2024 Revista de Cirugía

Este obra está bajo una licencia de Creative Commons Reconocimiento 4.0 Internacional.