Divertículo Rectal como Complicación Tardía Excepcional de la Técnica STARR: Caso Clínico

Resumen
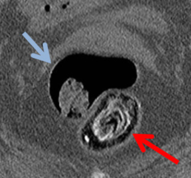
Introducción: La técnica STARR (Resección Rectal Transanal con Grapadora) es un procedimiento empleado para el tratamiento del prolapso rectal y el síndrome de defecación obstructiva. A pesar de sus beneficios, pueden presentarse complicaciones, entre ellas el divertículo rectal, una entidad extremadamente rara.
Métodos: Se presenta el caso de una paciente de 69 años, intervenida hace diez años mediante STARR, que consulta por sensación de ocupación anal y dificultad defecatoria. Se realizaron estudios clínicos y radiológicos, confirmando la presencia de un divertículo rectal. Se llevó a cabo una exploración quirúrgica con resección del saco diverticular y cierre primario del defecto mucoso.
Resultados: Se identificó un orificio subcentimétrico con un saco diverticular de aproximadamente 3 cm de profundidad con material fecaloideo en su interior. La resección completa y el cierre con sutura barbada fueron satisfactorios.
Discusión: El divertículo rectal post-STARR es una complicación excepcional con pocos casos reportados. Factores como defectos en la sutura mecánica o alteraciones en la cicatrización podrían estar implicados en su desarrollo. Su diagnóstico suele ser tardío debido a la inespecificidad de los síntomas. El tratamiento quirúrgico ha demostrado ser efectivo en la resolución de síntomas obstructivos. Este caso enfatiza la importancia del seguimiento prolongado y la necesidad de más estudios sobre su manejo.
DOI: http://dx.doi.org/10.35687/s2452-454920250042624
Copyright (c) 2025 Revista de Cirugía

Este obra está bajo una licencia de Creative Commons Reconocimiento 4.0 Internacional.